.

Sustitución de puente fijo en mal estado por implante ONE PIECE y coronas de porcelana sin metal

Envíado por Dr. Alex Martínez

Post Image

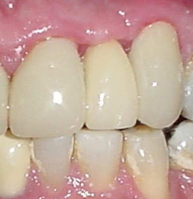
Control dos meses después nótese la mejor disposición de la encía

Post Image

Puente removido

Post Image

Vista vestibular

Post Image

Vista incisal previa impresión

Post Image

Medición clínica bucopalatina

Post Image

Vista clínica implante colocado

Post Image

Radiografía inicial

Post Image

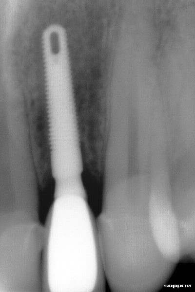
Implante ONE PIECE colocado

Post Image

Secuencia de colocación de implante en incisivo lateral izquierdo

Post Image

Después

Post Image

Puente desadaptado

Post Image

Medición clínica para planificación de implante

Post Image

Coronas recién cementadas

Post Image

Medición clínica mesiodistal

Post Image

Vista antes de toma de impresión

Post Image

Medición clínica interdental

Post Image

Ocho semanas después esta listo para rehabilitar

Post Image

Impresión obtenida

Post Image

Vista incisal

Post Image

Radiografía final