.

Dr. Alex Martínez

Implantes Dentales y Odontología Estética

User Image

JVPO 3368

Plaza Barcelona
Avenida Masferrer y 7a Calle Poniente 51-50 Plaza Barcelona Local 26 Colonia Escalón, San Salvador


Educación Superior

  • Implantología Dental
    Marzo 2010, marzo 2011 New York University, College of Dentistry, Linhart Continuing Dental Education Program “International Implantology Week”. Estados Unidos de Norteamérica.
  • Enero - Febrero 2009 The University of Detroit Mercy, Institute for Advanced Continuing Dental Education. “A Multiple Level, Hands-On Comprehensive Implant Program” Estados Unidos de Norteamérica.
  • Enero 2011 Universidad Evangélica de El Salvador. Escuela de Postgrado Odontología.“Curso de Cirugía Periodontal Aplicada en Implantología” San Salvador, El Salvador.
  • Febrero 2008 Centro de Implantes y Periodoncia. “Curso Quirúrgico, protésico y de laboratorio sobre Implantes dentales de carga inmediata y Prótesis híbrida sobre implantes dentales". Bogotá, Colombia.
  • Agosto 2007 Universidad Evangélica de El Salvador. “Curso de Cirugía para Implantes Dentales y Plasma Rico en Factores de Crecimiento”. San Salvador, El Salvador.
  • 2010 Universidad Evangélica de El Salvador. Escuela de Postgrado Odontología. Diplomado en Cirugía Periodontal Avanzada. Graduado como primer lugar del Diplomado con un promedio académico de 10.0.
  • 2007 Universidad Salvadoreña Alberto Masferrer. Diplomado en Odontología Estética y Oclusión. Recibiendo Diploma de Honor al Mérito por promedio académico sobresaliente.
  • 1994 - 2000 Universidad de El Salvador, San Salvador. Doctorado en Cirugía Dental. Ganando el reconocimiento nacional denominado “Espejo de Oro de la Profesión Odontológica” que se otorga al graduado con el mejor rendimiento integral (teórico y práctico) durante la carrera.

Premios Recibidos

  • "Primer Lugar X Certamen de Investigación Científica 2011", Dirección General de Postgrado, Escuela de Postgrado Odontología. UEES.
  • "Primer Lugar Académico 2010", Diplomado en Cirugía Periodontal Avanzada, Escuela de Postgrado Odontología. UEES.
  • "Espejo de Oro de la Profesión Odontológica" Sociedad Dental de El Salvador 1999.
  • "Diploma de Honor al Mérito" Universidad Salvadoreña Alberto Masferrer 2007.
  • "Primer Bachiller" Colegio La Providencia 1993.

Estudios e Investigaciones Científicas

“Estudio bacteriológico del biofilm presente en cálculo supragingival de superficie lingual del sector anteroinferior, en pacientes salvadoreños con edades comprendidas entre treinta y setenta años.” Dirección General de Postgrados, Escuela de Postgrado Odontología, UEES 2011

Ponencias Impartidas

  • "Curso de Implantología Dental", Grupo de Estudio Odontológico DENTEC. San Salvador, 29 de enero de 2010.
  • "Implantes Dentales Unitarios”, Grupo de Estudio Gamaliel, Sociedad de Odontólgos Cristianos. San Salvador, 7 de diciembre de 2009.
  • "Implantes Dentales y su Aplicación en la Práctica Diaria", San Miguel, 14 de octubre de 2009.
  • "Imlantes Dentales. Conceptos, Fundamentos y Técnicas para el Práctico General", Grupo de Estudio Odontológico. San Salvador, 15 de abril de 2009.
  • "Cancer Bucal, Riesgos y Desafíos", III Confraternidad Internacional de Estudiantes de Odontología. San Salvador, 26 de junio de 1999.

Congresos y Seminarios

  • “1er Expo Congreso de Turismo Médico en El Salvador”. San Salvador, 17 a 19 de julio de 2014.
  • “Seminario Excelencia en Endodoncia”. Educación Continua Odontológica. San Salvador, de febrero a junio de 2014 ( duración de 64 horas teóricas y preclínicas).
  • “Zimmer Product Training”. Zimmer Dental Institute, San Diego, Californa, USA. Del 16 a 19 de junio 2013.
  • “Casos no Convencionales en Operatoria Dental”. Programa de Complementación Académica. PCA. San Salvador, 5 de diciembre de 2012.
  • “Blanqueamiento Dental: Acción y Riesgo” Hands-on training course. Ultradent Products. San Salvador, 25 de julio de 2012.
  • “Blanqueamientos Dentales y Restauraciones Directas Adheridas, una Combinación Perfecta”. Hands-on training course. Ultradent Products. San Salvador, 30 de junio de 2009.
  • “Injerto en bloque alogénico para aumento vertical y horizontal J-Block”. Zimmer Dental, Bogotá, Colombia. 21 de mayo de 2009.
  • “III Congreso Internacional de Implantología Oral” Zimmer Dental, Bogotá, Colombia. 22 y 23 de mayo de 2009.
  • “X Congreso Latinoamericano ALODYB El Salvador 2008”. San Salvador, del 6 al 8 de noviembre de 2008.
  • “Simposio Enfermedad Periodontal y Salud Sistémica”. San Salvador, septiembre de 2008.
  • “Estética del Sector Anterior”, “Principios de Cariología aplicados a mínima intervención”. IX Jornanda Internacional, ALODYB 2008. San Salvador, 22 de agosto de 2008.
  • "Restauraciones Anteriores Directas de Resina Composita Amelogen Plus". Nivel Avanzado Hands on Training, Ultradent Protucts. San Salvador, 19 de agosto de 2008.
  • "One Piece Implant y Carga Inmediata". UEES, 17 de agosto de 2007.
  • "Composites, Bonding, Tissue Management and Whitening" Ultradent Continuing Education Seminar, San Salvador, 26 de mayo 2007.

Experiencia Profesional

  • 2008-2009 Instructor Invitado en cursos de Implantología impartidos por Grupo de Estudio Odontológico DENTEC.
  • 2006 – a la fecha Clínica Privada, SAN SALVADOR. Énfasis en Implantes Dentales y Odontología Estética.
  • Práctica Profesional Privada (Miembro de redes odontológicas ACSA, VIVIR)
    • Brindando servicios odontológicos a pacientes particulares con énfasis en implantes dentales y odontología estética.
  • 2001 – 2006 Centro de Especialidades Odontológicas, SAN SALVADOR.

Cargos Desempeñados

  • 1996-1997 Representante como miembro suplente ante el Consejo Técnico de la Facultad de Odontología de la Universidad de El Salvador.
  • 1997-2000 Representante como miembro propietario ante la honorable Junta Directiva de la Facultad de Odontología de la Universidad de El Salvador.

Servicios

  • Implantes Dentales: Incluyendo el sistema más avanzado en implantología dental llamado ONE-PIECE IMPLANT, el cual permite colocar la pieza dental desde la primera cita.
  • Diseño de sonrisa por computadora: Permite observar los posibles resultados antes de iniciar el proceso.
  • Carillas de Porcelana: el método estético más utilizado en la odontología de alto nivel para provocar verdaderas transformaciones en la sonrisa.
  • Blanqueamiento Dental Laser: en sólo una hora pueden observarse impactantes cambios de color de amarillo o grisáceo a blanco.
  • Radiografía Digital computarizada: 70% menos radiación que la radiografía convencional
  • Dental Bonding: Restauraciones adhesivas con mínima invasión a la estructura dental.
  • Coronas y Puentes estéticos sin metal.
  • Incrustaciones Inlay y Onlay.
  • Laserterapia Dental: laser terapéutico para tratamiento de inflamación, dolores musculares de cara y cuello, y lesiones localizadas de tejidos blandos como el fuego bucal (aftas).
  • Electrocirugía.
  • Todos los procedimientos son realizados con equipo de última tecnología y guardando las más estrictas normas de bioseguridad.

Horarios

Plaza Barcelona
Horarios:

Idiomas

Área de Procedimientos
Caso Clínico Antes
Aplicando Laserterapia
Área de Espera
Caso Clínico Después
Dr. Alex Martínez
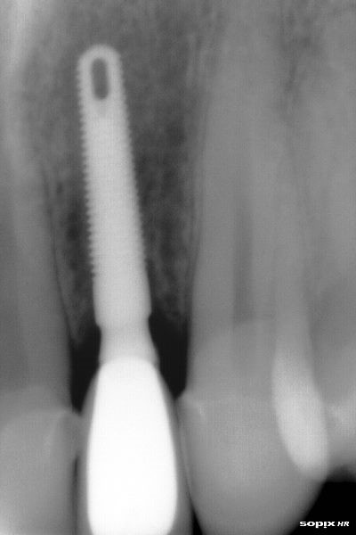
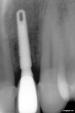
Radiografía de un Implante
Blanqueamiento Dental Láser