.

Carillas de porcelana inferiores

Envíado por Dr. Alex Martínez

Post Image

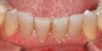
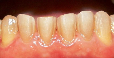
Inicio. Dientes manchados y desgastados

Post Image

Se realiza una preparación mínima en los dientes. Aproximadamente la tercera parte de un milímetro

Post Image

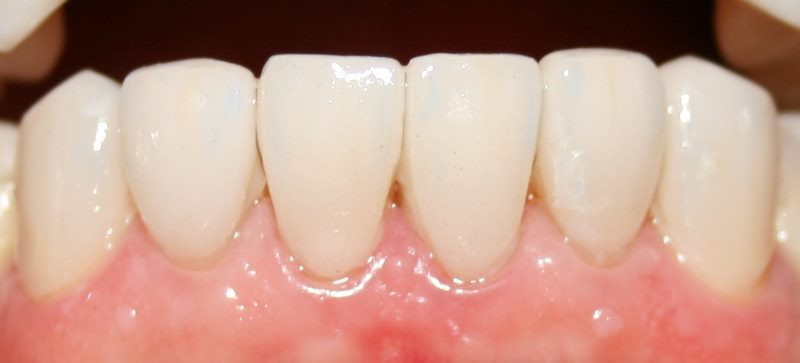
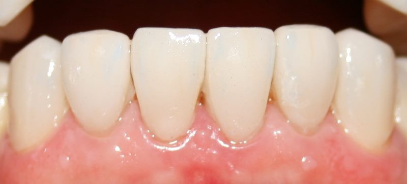
Carillas terminadas y colocadas en boca del paciente. Nótese como mejora la forma y el color

Post Image

Es muy importanteque se copien los detalles exactos

Post Image

Se obtiene una impresión con un material especial

Post Image

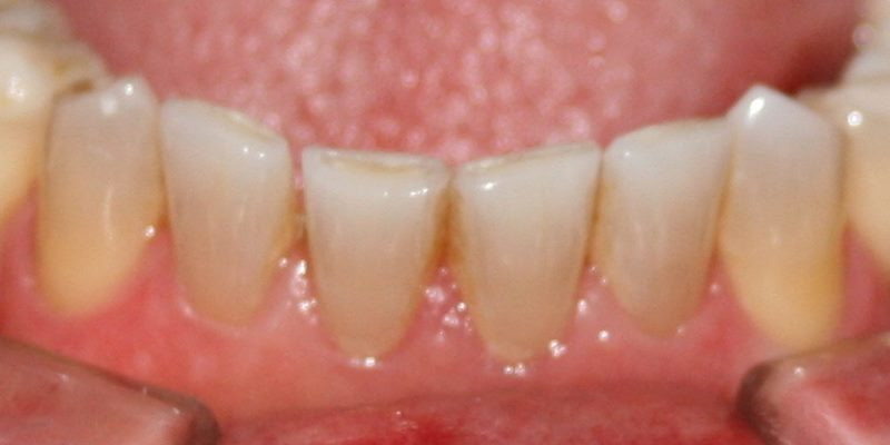
Antes

Post Image

Las carillas se preparan en laboratorio en modelos de yeso obtenidos de la impresión

Post Image

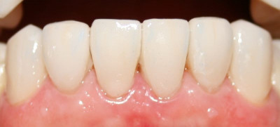
Después

Post Image

Vista incisal de las carillas