.

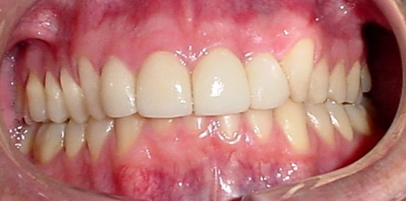
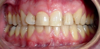
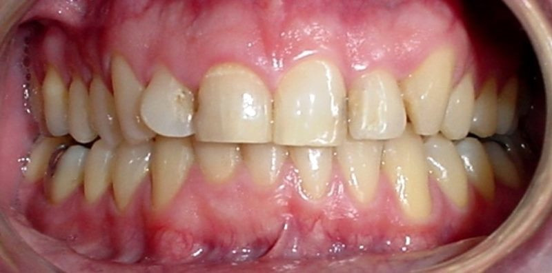
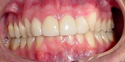
Blanqueamiento y carillas de porcelana

Envíado por Dr. Alex Martínez