.

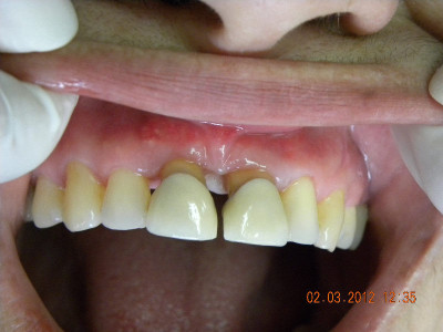
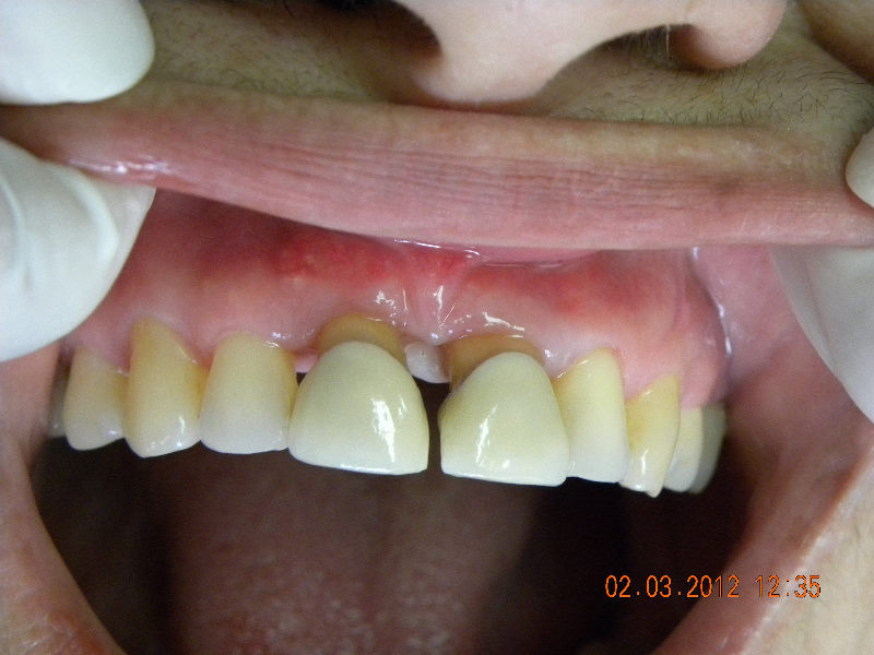
Coronas de porcelana libres de metal

Envíado por Grupo Dental de El Salvador