.

Grupo Dental de El Salvador

Implantes dentales y Odontología Estética

User Image

Grupo Dental de El Salvador
Ave. Dr. José Matías Delgado no. 377 Colonia Escalón, San Salvador

Misión

Brindar el mejor servicio en tratamientos de Implantes dentales y Odontología Estética, proporcionando una alta estética, salud, función dental, a través de una continua actualización de el personal y con el uso de materiales y equipos dentales de la mejor calidad a nivel mundial.

Visión

Mejorar continuamente la calidad de nuestros tratamientos dentales, para llegar a proporcionar los mejores servicios estéticos y de Implantes dentales en el país.

Los Procedimientos que Realizamos

  • Rehabilitación completa de la Cavidad Oral.
  • Implantes dentales:
    • Implante One-Piece (de una sola pieza), en la misma cita de la cirugía se va con el diente puesto.
  • Prótesis Fijas sobre Implantes.
  • Coronas individuales sobre Implantes.
  • Prótesis Removibles sobre Implantes.
  • Prótesis Totales sobre Implantes.
  • Prótesis Hibrida sobre Implantes.
  • Carillas de Porcelana.
  • Coronas completas de porcelana libres de metal.
  • Incrustaciones.
  • Coronas Metal-Porcelana.
  • Blanqueamiento dental.
  • Laminados de resina.
  • Tratamientos de Endodoncia (Root Canal).
  • Extracciones.
  • Extracciones de Cordales.
  • Cirugía de Cordales.
  • Cirugías Periodontales.

Ventajas de Nuestros Implantes Dentales

  • Funcionan como dientes naturales independientes.
  • En el lugar donde son colocados detienen la reabsorción del hueso alveolar.
  • Preserva los dientes adyacentes, evitando hacer cortes o desgastes en éstos para hacer un puente fijo.
  • El implante se integra al hueso en el 98.5%, consiguiendo una aceptación de casi el 100% (Biocompatibilidad).
  • Único tratamiento dental que funciona a largo plazo.
  • Se provee fuerza para masticar como en los dientes naturales.
  • Sirven para sustituir un solo diente, hasta la totalidad de las dentaduras, dependiendo el número de Implantes que se coloquen.
  • Proveen un mejor anclaje y comodidad a las Prótesis Removibles y Totales.

Desventajas

  • Ninguna conocida

Mi práctica está orientada a la Rehabilitación Oral completa con especialidad en Implantes Dentales.

Hoy por hoy, los Implantes Dentales son el único tratamiento dental permanente, a diferencia de las Prótesis dentales convencionales, que tarde o temprano dejan de funcionar correctamente, por lo que hay que hacer nuevos procedimientos.


Staff Médico
Dr. Luis Guillermo Avilés Flores
Implantes Dentales y Odontología Estética

Horarios

Grupo Dental de El Salvador
Horarios:

Idiomas

Consultorio
Fachada de la clínica
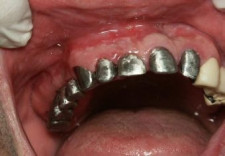
Final, Coronas de Porcelana
Cómoda sala de espera
Consultorio
Implantes con el Muñón Protésico
Inicial
Tornillos de Cicatrización