.

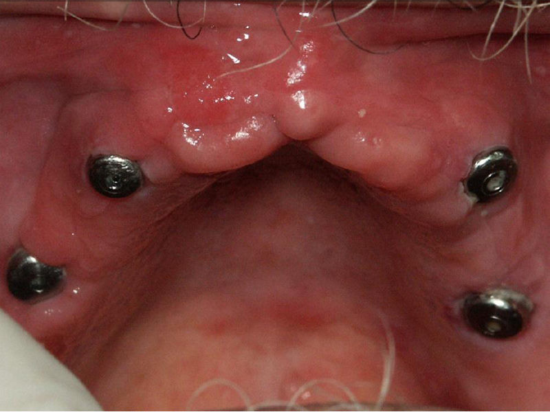
Colocación de cuatro implantes a nivel de maxilar superior

Envíado por Grupo Dental de El Salvador

Post Image

Terminado de Prótesis Hibridas superior e inferior atornillada sobre implantes que van fijas y no se las tiene que quitar el paciente

Post Image

Foto en el cual al paciente se le colocaron cuatro implantes a nivel de maxilar superior

Post Image

El mismo paciente en el cual se le colocaron cuatro Implantes inferiores, para elaborarle Prótesis Hibridas que van fijas