.

Caso de implantes

Envíado por Grupo Dental de El Salvador

Post Image

Colocación de implantes con tornillos de cicatrización

Post Image

Maxilar Inferior: Postes de impresiones para tomar impresión definitiva para elaborar prótesis fija sobre implantes

Post Image

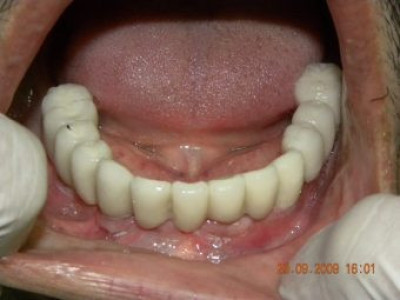
Prótesis fija inferior terminada sobre implantes

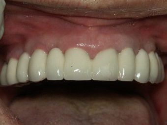
Post Image

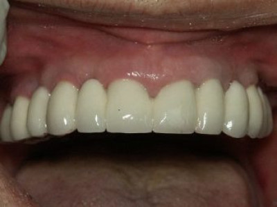
Prótesis Fija superior terminada sobre implantes

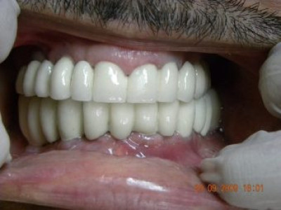
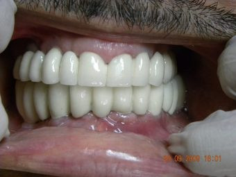
Post Image

Prótesis fijas terminada sobre implantes

Post Image

Maxilar Superior: Implantes con abutments