.

3 Casos de Carillas de Porcelana

Envíado por Grupo Dental de El Salvador

Post Image

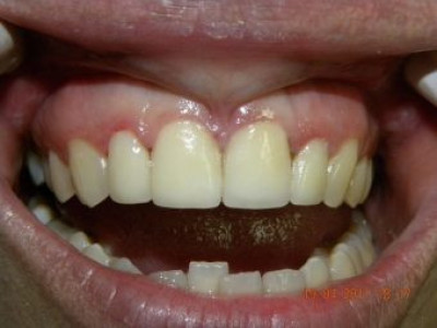
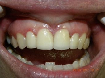
Caso 1: Inicio de tratamiento para carillas de porcelana

Post Image

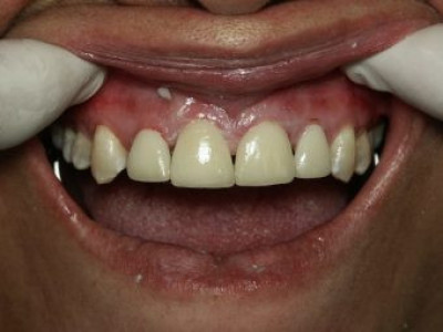
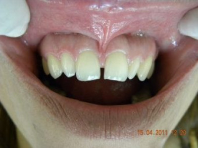
Caso 2: Inicio de tratamiento de Carillas de Porcelana

Post Image

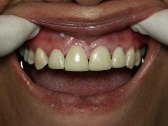
Caso 3: Foto de inicio de tratamiento de Carillas de Porcelana

Post Image

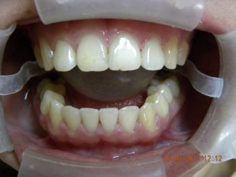
Caso 1: Terminado de Carilla de Porcelana

Post Image

Caso 3: Foto de terminado de Carillas de Porcelana

Post Image

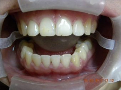
Caso 2: Caso terminado de Carillas de Porcelana