.

Dr. Mario Humberto Minervini Marín

Neurocirujano

User Image

JVPM 5715

Villavicencio Plaza
2° Nivel Local #2-7 99 Avenida Norte y Paseo General Escalon Colonia Escalón, San Salvador
Colonia Médica
Av. Dr. Luis Edmundo Vásquez, Pasaje #5 Dr. Salvador Infante Díaz #126 Colonia Medica, San Salvador
Centro Integral de Salud
3a Calle Poniente, San Salvador, El Salvador, San Salvador


Instituto Nacional de Neurociencias

Estudios Superiores y Formación Académica

  • Doctorado en Medicina y Cirugía. Universidad Evangélica de El Salvador. 1996.
  • Residencia en Cirugía General. Hospital Nacional Rosales. Universidad de El Salvador. 1999-2000.
  • Residencia en Neurocirugía. Hospital Nacional Rosales. Universidad de El Salvador. 2001-2003.
  • Residencia en Neurocirugía. Residente Extranjero Rotante en Neurocirugía. Hospital Universitario de La Princesa. Universidad Autónoma de Madrid. 2004-2005.

Cargos Desempeñados

  • Docentes
    • Instructor en la Cátedra de Anatomía Macroscópica. Universidad Evangélica de El Salvador. 1990-1991.
    • Medico Tutor Residente. Hospital Nacional Rosales. Universidad de El Salvador. 2002-2003.
    • Medico Staff Tutor en la Cátedra de Nosología. Universidad Evangélica de El Salvador (2006-actual).
       
  • Laborales
    • Medico Residente Cirugía General. Hospital Nacional Rosales. Años 1999 y 2000.
    • Medico Residente Neurocirugía. Hospital Nacional Rosales. Años 2001 al 2003.
    • Medico Residente Neurocirugía. Hospital Universitario de La Princesa. Madrid, España. Años 2004 y 2005.
    • Neurocirujano Adjunto. Servicio de Neurocirugía. Hospital Nacional Rosales. (Enero 2006-actual).
    • Neurocirujano Staff en el Servicio de Bienestar Magisterial. Hospital Nacional Rosales. (Feb. 2006-actual).
    • Neurocirujano Staff. Salud Total. (Junio 2006-actual).

Reconocimientos Académicos y Profesionales

  • Graduado con Honores. Mejor Promedio de Promoción. Primer Bachiller. Colegio Externado San José. 1988.
  • Graduado con Honores. Mención Honorífica por mejor Promedio entre los graduados de Promoción Medica. Universidad Evangélica de El Salvador. 1996.
  • Mención Honorífica. Mejor Reporte Finalización de Servicio Social. Universidad Evangélica de El Salvador. 1996.
  • Becario de la Agencia Española de Cooperación Internacional (AECI). 2004 y 2005.
  • Certificado por el ECFMG (Educational Commisión for Foreign Medical Graduates) (Licencia médica Americana). 1997.
  • Homologación Titulo de Doctor en Medicina al equivalente de Licenciado en Medicina en España. (Licencia médica Española). 1998.

Asociaciones Profesionales

  • Miembro del Colegio Médico de El Salvador.
  • Miembro de la Asociación de Neurocirugía de El Salvador.

Cursos y Congresos

  • II Congreso Nacional de Ciencias Neurológicas. Agosto 2000.
  • III Congreso Centroamericano de Neurocirugía y Exponeuro 2003. Curso de la World Federation of Neurosurgical Societies. Octubre 2003.
  • Curso Taller Abordajes Quirúrgicos para Base de Cráneo. Universidad de El Salvador y Asociación de Neurocirugía de El Salvador. Noviembre 2003.
  • X Reunión Nacional SENEC. Congreso de La Sociedad Española de Neurocirugía. Palma de Mallorca, España. Mayo 2005.
  • Curso Instrumentación Vertebral sin Fusión Ósea. Constance, Alemania Noviembre 2005.
  • Cirugia Cerebral Guidada por Neuronavegación. Hospital Clínico San Carlos, Madrid, España. Octubre 2009. (Beca internacional de la empresa Depuy Jhonson y Jhonson).

Entrenamientos Adicionales

  • Cirugía para el control de la Epilepsia. Hospital Universitario de La Princesa, Madrid, España. 2004-2005.
  • Cirugía Estereotáxica. Hospital Universitario de La Princesa, Madrid, España. 2004-2005.
  • Cirugía para Enfermedad de Parkinson: Estimulación Cerebral Profunda. Hospital Universitario de La Princesa. Madrid, España. 2004-2005.

Servicios

  • Enfermedades del Sistema Nervioso Central: Migrañas, Epilepsia, Parkinson, etc.
  • Enfermedades del Sistema Nervioso Periférico: Túnel del Carpo, Atrapamientos de nervios, lumbalgias, procesos degenerativos de columna, etc.
  • Cirugía para Epilepsia.
  • Cirugía estereotáxica.
  • Cirugía de columna cervical, dorsal y lumbar: hernias de disco, instrumentaciones lumbares, fracturas, tumores, etc.
  • Cirugía para Tumores Cerebrales.
  • Cirugía para Aneurismas y malformaciones vasculares cerebrales.
  • Cirugía para trauma de cráneo, cerebro, columna y nervios.
  • Cirugía para neuralgia del trigémino: descompresión microvascular.
  • Microcirugía Neuroquirúrgica en General.

Horarios

Villavicencio Plaza
Horarios:
Colonia Médica
Horarios:
Centro Integral de Salud
Horarios:

Idiomas

Clínica
Área Clínica
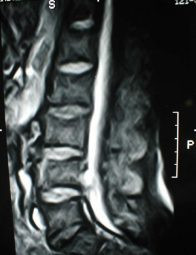
Hernia de Disco
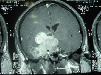
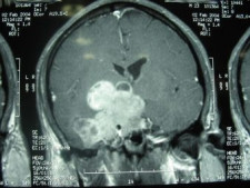
Tumor Hipofisiario
Aneurisma Cerebral
Dr. Minervini