.

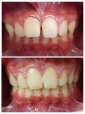
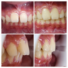
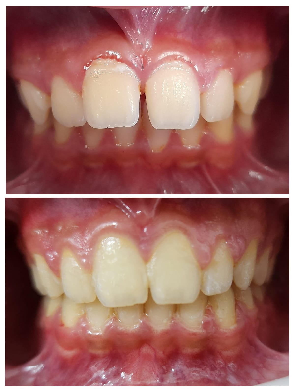
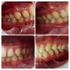
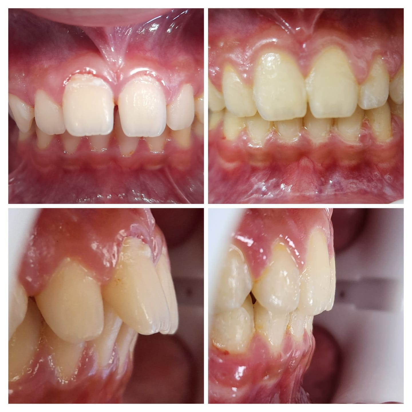
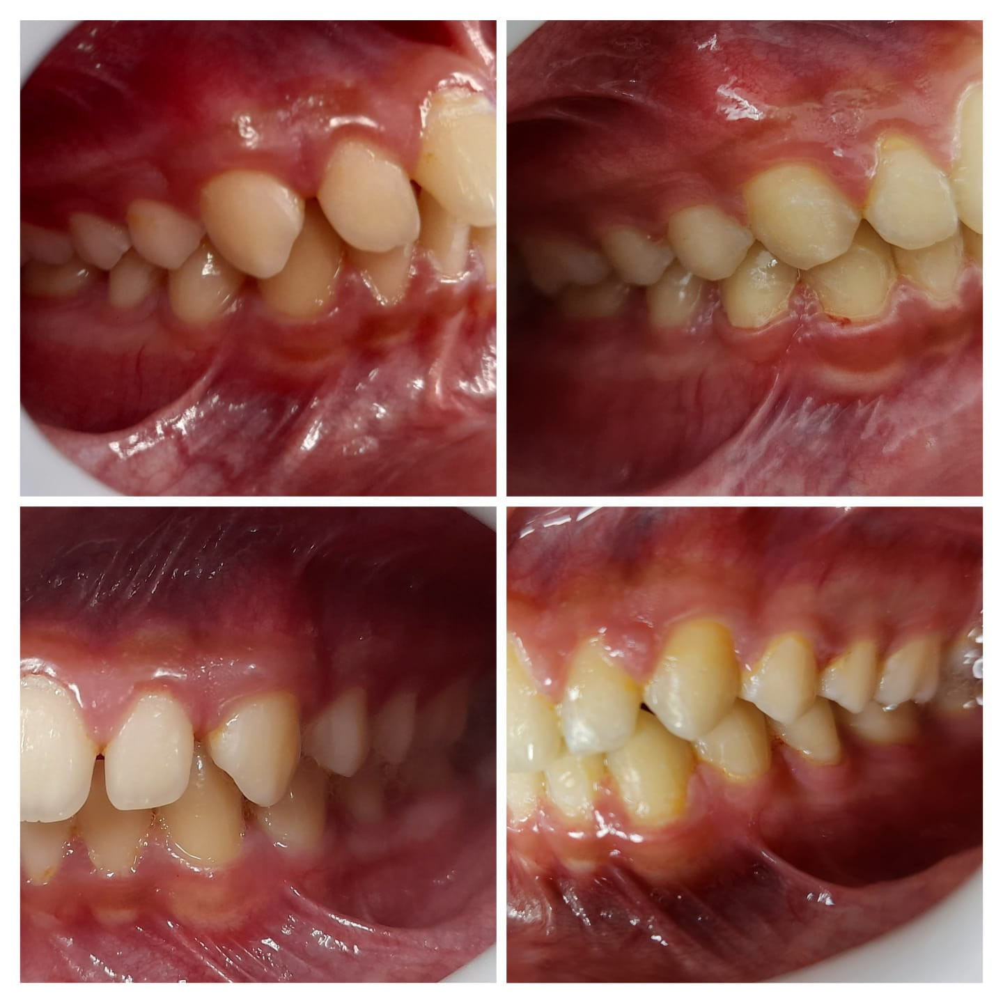
Casos

Envíado por Dra. María de Los Ángeles Rosales Álvarez de Sampera