.

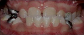
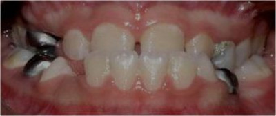
Caso de Odontología

Envíado por Dr. Roberto Betancourt Sánchez