.

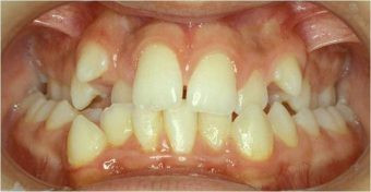
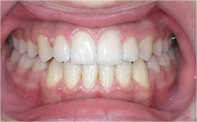
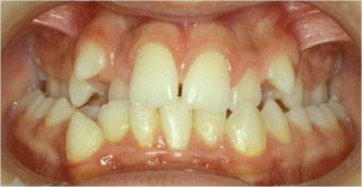
Caso de Odontologia

Envíado por Dr. Roberto Betancourt Sánchez