.

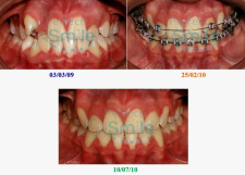
Sonrisas antes y Sonrisas después

Envíado por Dr. Manuel Arturo Cortez Miranda