.

Procedimientos

Envíado por Dr. Luis Guillermo Avilés Flores

Post Image

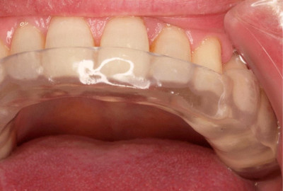
Férulas o Guardas Oclusales

Post Image

Blanqueamiento dental

Post Image

Prótesis fija sobre implantes, Sector Antero Inferior

Post Image

Carillas de Zirconio

Post Image

Carillas de Zirconio

Post Image

Caso de Carillas de Zirconio

Post Image

Prótesis fija de metal porcelana sobre implantes

Post Image

Caso de estética en el Sector Anterior

Post Image

Coronas de Zirconio