.

Casos de Odontología antes y después

Envíado por Dr. Marco Antonio Alvayero H.

Post Image

Secuencia de Elaboración de Carillas

Post Image

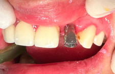
Remoción de Pin para Post Metálico

Post Image

Secuencia de Blanqueamiento Dental

Post Image

Secuencia de Elaboración de Coronas

Post Image

Remoción de Pin para Post Metálico

Post Image

Secuencia de Elaboración de Carillas

Post Image

Colocando Implante

Post Image

Dr. Alvayero

Post Image

Colocando tornillo de cicatrización

Post Image

Tornillo de cicatrización

Post Image

Poste para tomar impresión de corona sobre implante

Post Image

Sistema rotatorio de endodoncia