.

Diversos procedimientos de odontología, con imágenes del antes y un después.

Envíado por Dr. Ivan A. Alfaro Masferrer

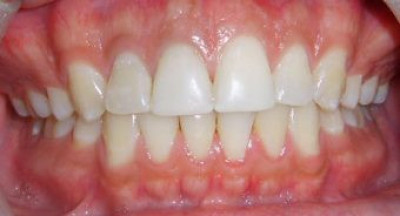
Post Image

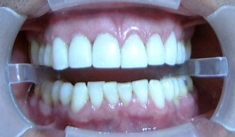
Caso de cierre de diastema

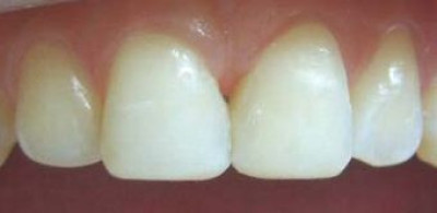
Post Image

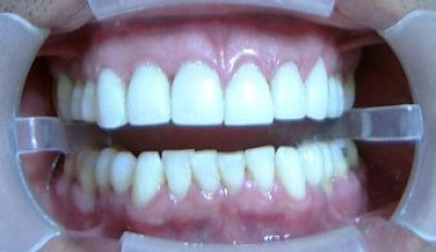
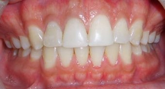
Caso terminado después

Post Image

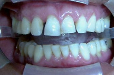
Caso terminado blanqueamiento

Post Image

Caso de carillas terminado

Post Image

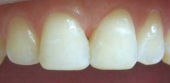
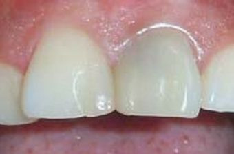
Blanqueamiento dental selectivo un solo diente

Post Image

Caso terminado

Post Image

Cambio de rellono de plata a resina

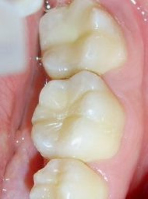
Post Image

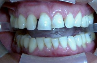
Caso cornas

Post Image

Caso de coronas terminado

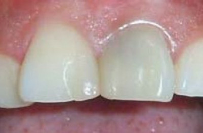
Post Image

Blanqueamiento de un diente después de una endodoncia y obturacion estetica en diante adyacente

Post Image

Recostrucción de sonrisa con carillas de ceromero