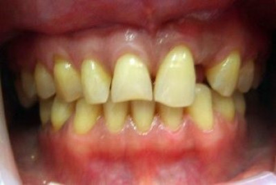
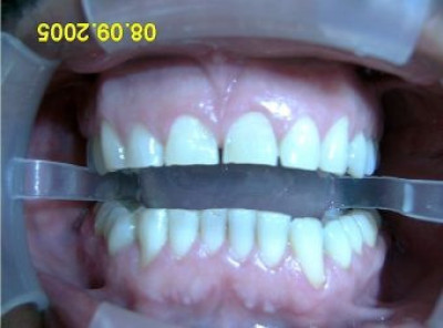
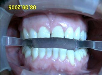
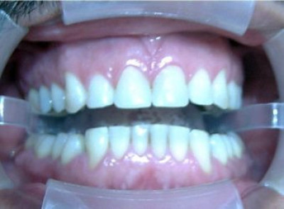
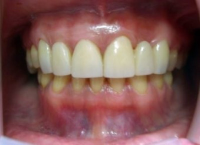
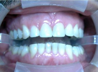
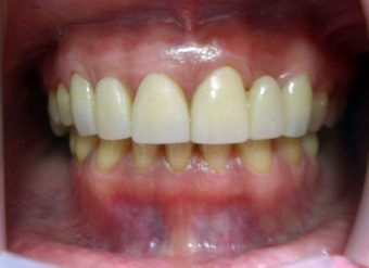
Caso CLínico Después
- Inicio
- Iniciar Sesión
- Buscar
- Inscríbete
- Otros
- Blog
- Asociaciones Médicas
- Hospitales
- Farmacias
- Suministros Médicos
- Laboratorios
- Ópticas
- Asociaciones de Pacientes
- Médicos Cirujanos
-
Especialidades de Medicina
- Ver toda la especialidad
- Alergólogos
- Anestesiólogos
- Cardiólogos
- Dermatólogos
- Diabetólogos
- Electrofisiólogos
- Endocrinólogos
- Fisiatras
- Gastroenterólogos
- Genetistas
- Geriatras
- Hematólogos
- Infectólogos
- Med. Crítica y Cuidados Intensivos
- Medicina Familiar
- Medicina General
- Medicina Interna
- Nefrólogos
- Neumólogos
- Neurofisiólogos
- Neurólogos
- Nutriólogos
- Oncólogos
- Oncólogos Radioterapéutas
- Patólogos
- Radiólogos
- Reumatólogos
- Pediatras
- Odontólogos
- Ginecólogos y Obstetras
- Psiquiatría
-
Clínicas
- Ver toda la especialidad
- Audición
- Bariátricas
- Biológicas
- Cardiológicas
- Cirugía
- Densitometrías Ósea
- Dermatológicas
- Dolor
- Endocrinología
- Especialidades Múltiples
- Estética
- Gástricas
- Geriátricas
- Ginecología
- Hernia
- Láser
- Maternidad
- Medicina del Trabajo
- Móviles
- Neurofisiológicas
- Neurológicas
- Nuclear
- Nutrición
- Odontológicas
- Oftalmológicas
- Oncología
- Ortopédicas
- Osteoporosis
- Pediátricas
- Plástica
- Quiroprácticas
- Radiología
- Rehabilitación
- Renales
- Salud Mental
- Spa
- Urología
- Várices y Úlceras Varicosas
- Medicina Alternativa
Su experiencia en este sitio será mejorada con el uso de cookies.