.

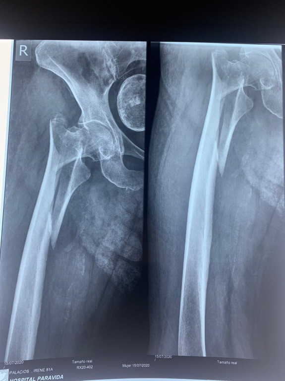
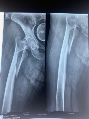
Caso de Fractura de Fémur

Envíado por Dr. Ronald Napoleón Ruano Mendoza