.

Imágenes Médicas de Casos Ortopedia

Envíado por Dr. Luis Rodolfo Morales Choto

Post Image

Atroscopia de Hombro - Ruptura de Supraespinoso

Post Image

Dr. Morales Choto - Colocando Yeso

Post Image

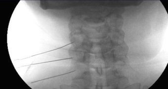
Agujas Colocadas para Bloqueo Transformainal en Cuello

Post Image

Liberación de Fibrosis en Codo

Post Image

Extracción de Fragmento Oseo en Codo

Post Image

Sutura del Menisco

Post Image

Artroscopía de Hombro (sutura de supraespinoso)

Post Image

Cirugía de Tunel del Carpo

Post Image

Osteocondritis Tobillo

Post Image

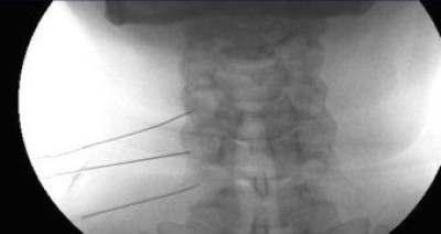
Colocación de Agujas

Post Image

Discografía L3, L4 y L4, L5 AP

Post Image

Extracción de Fragmento