.

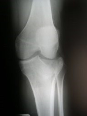
Fractura de plato tibial reducida bajo control artroscópico

Envíado por Dr. Luis Rodolfo Morales Choto