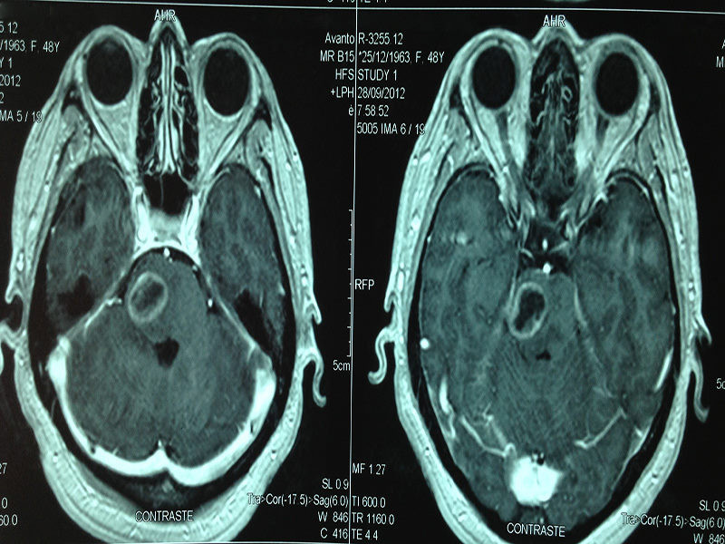
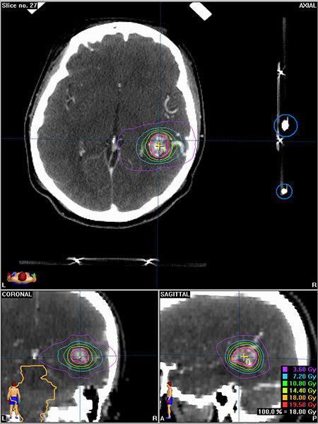
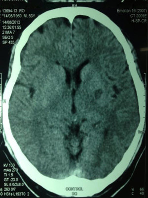
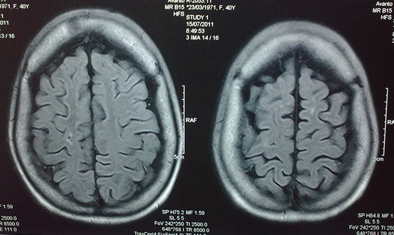
.

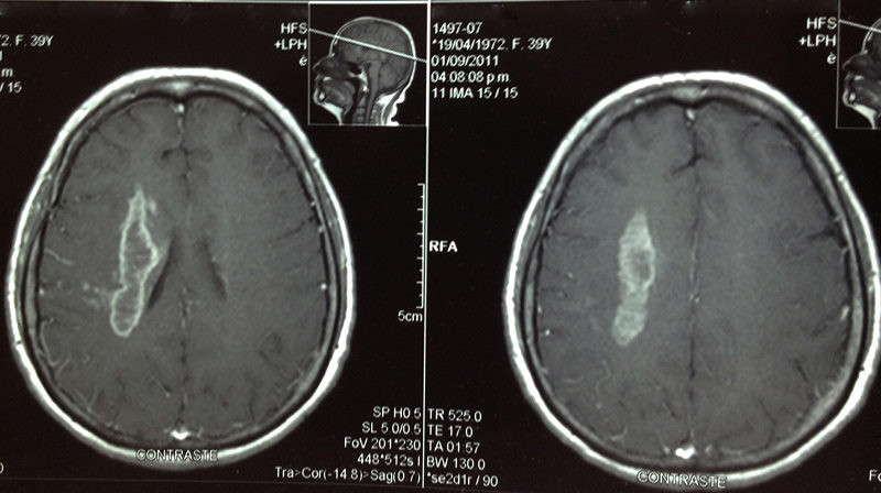
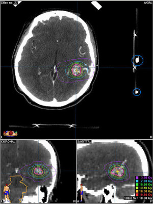
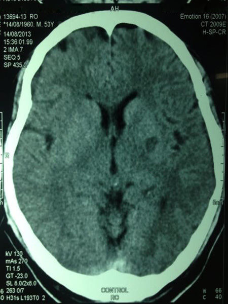
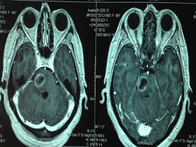
Casos Neuroloquirúrgicos

Envíado por Dr. Ruben Eduardo Amaya Contreras