.

Tumoración pineal con extención superior lateral derecha

Envíado por Dr. José Rafael Chang Calero

Post Image

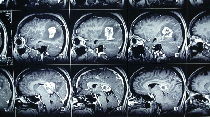
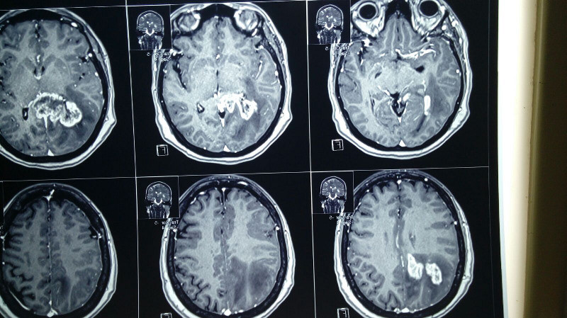
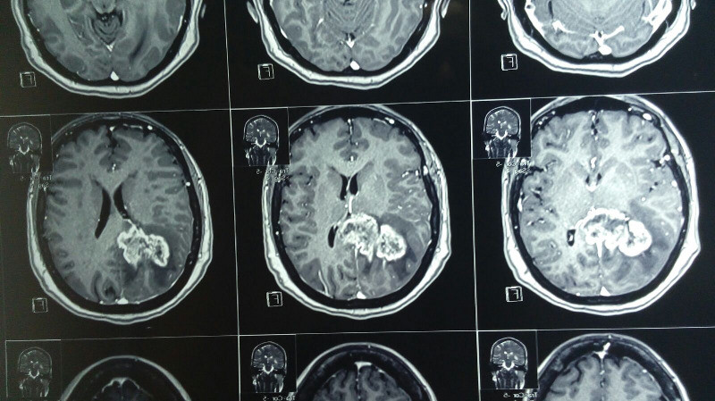
Paciente femenina de 55 años con tumoracion pineal con extencion superior lateral derecha

Post Image

Paciente femenina de 55 años con tumoracion pineal con extencion superior lateral derecha

Post Image

Paciente femenina de 55 años con tumoracion pineal con extencion superior lateral derecha

Post Image

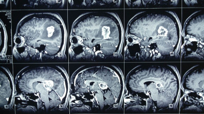
Espectroscopia confirma tumor cerebral

Post Image

Camara y antena de navegador cerebral

Post Image

Paciente femenina de 55 años con tumoracion pineal con extencion superior lateral derecha

Post Image

Cirugia guiada con navegador cerebral