.

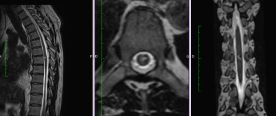
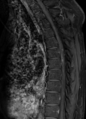
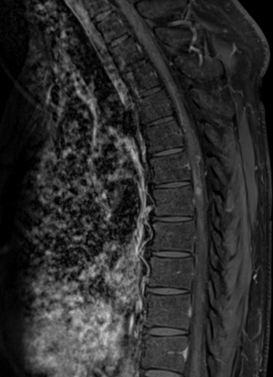
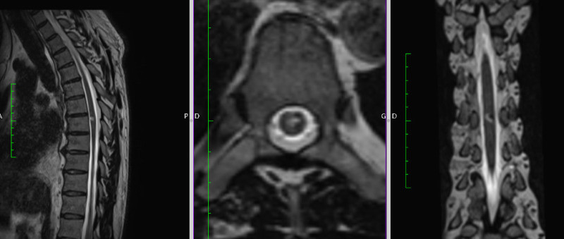
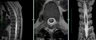
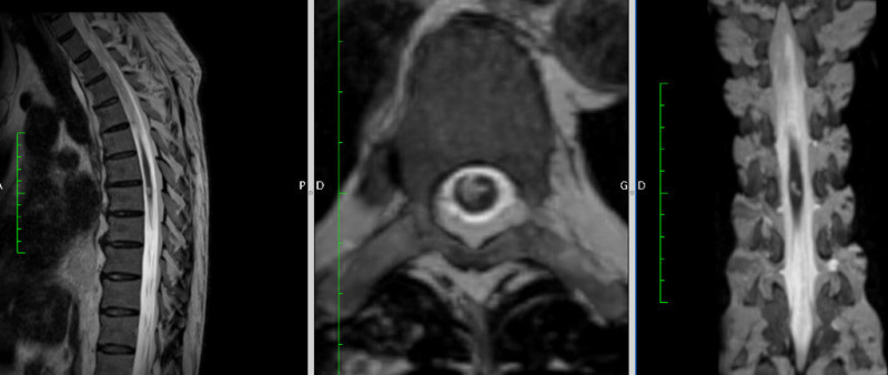
Resonancia Magnética de Columna

Envíado por Dr. José Rafael Chang Calero