.

Oligodendroglioma temporal izquierdo

Envíado por Dr. José Rafael Chang Calero

Post Image

Paciente en su Post Operación

Post Image

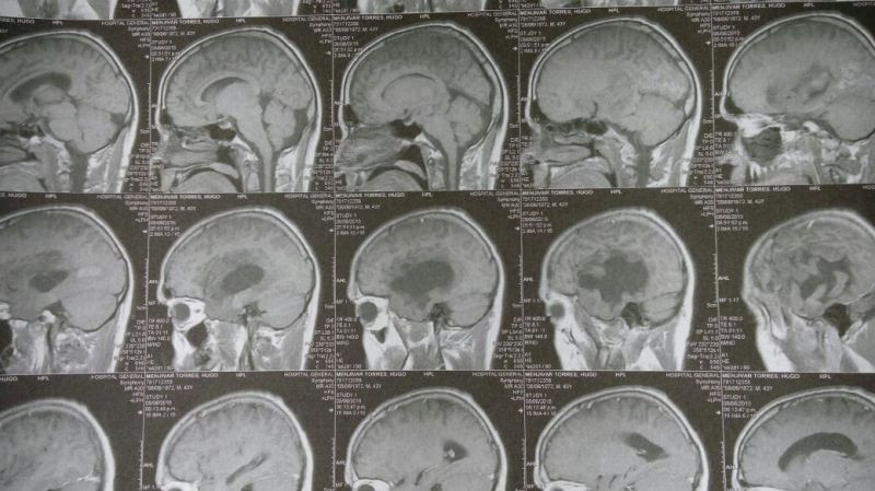
Oligodendroglioma temporal izquierdo Imagenes MRI Preoperatorio

Post Image

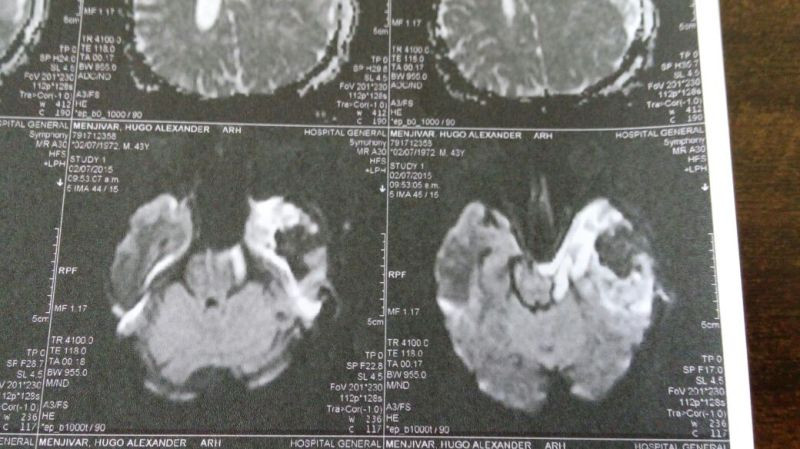
Imagen Post Operatorias 3 días después

Post Image

Imagen Post Operatorias 3 días después

Post Image

Oligodendroglioma temporal izquierdo Imagenes MRI Preoperatorio

Post Image

Oligodendroglioma temporal Imagenes MRI Preoperatorio

Post Image

Mejoría completa de su parálisis semicuerpo derecha

Post Image

Oligodendroglioma temporal izquierdo Imagenes MRI Preoperatorio

Post Image

Microscopio Operatorio Karl-Zeiss Pemtero 900

Post Image

Abordaje Quirúrjico craneotomía Temporal izquierda

Post Image

Imagen Post Operatorias 3 días después

Post Image

Acto Quirúrgico

Post Image

Abordaje Quirúrjico craneotomía Temporal izquierda

Post Image

Imagen Post Operatorias 3 días despues

Post Image

Abordaje Quirúrjico craneotomía Temporal izquierda

Post Image

Acto Quirúrgico