.

Imáganes de casos interesantes

Envíado por Dr. Luís Enrique Chica Cereghino

Post Image

Hernia hiatal gigante

Post Image

Paciente con cáncer de páncreas

Post Image

Cálculo gigante por coledocoliatisis

Post Image

Paciente con cáncer de páncreas

Post Image

Paciente con enfermedad diverticular

Post Image

Paciente con cáncer gástrico

Post Image

Paciente con cáncer gástrico

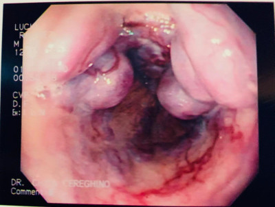
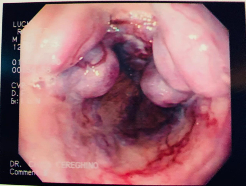
Post Image

Paciente con várices esofágicas

Post Image

Prótesis esofágica