.

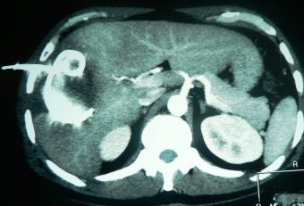
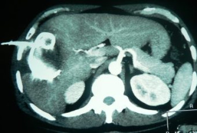
Drenaje percutáneo de absceso hepático

Envíado por Dr. Carlos Miguel Zavaleta Consuegra