.

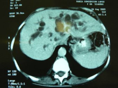
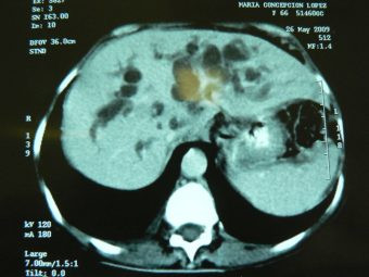
Derivación externa segmento III

Envíado por Dr. Carlos Miguel Zavaleta Consuegra