.

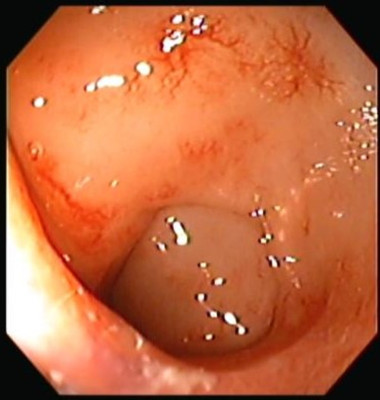
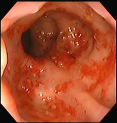
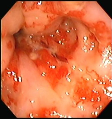
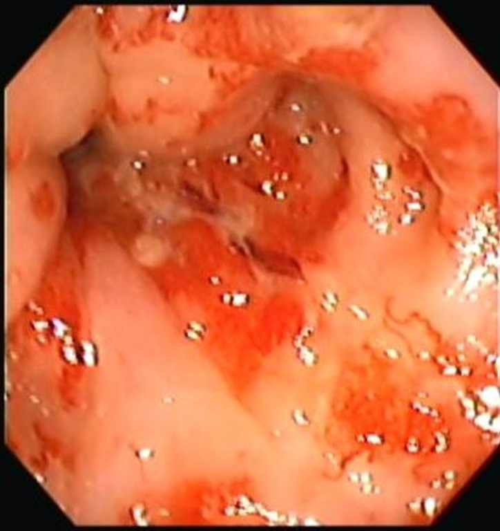
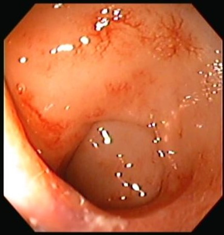
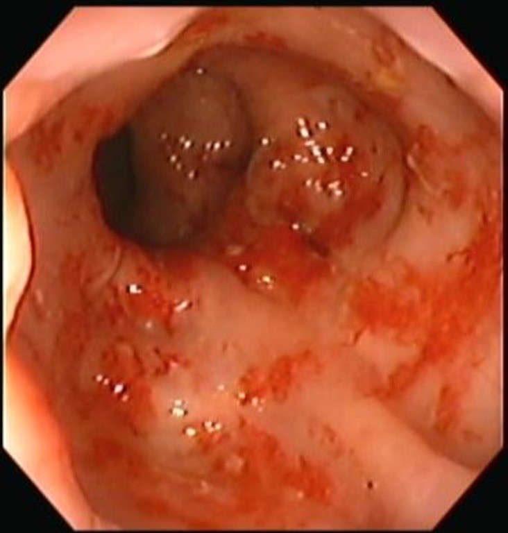
Proctitis

Envíado por Dr. Carlos Ernesto Arévalo