.

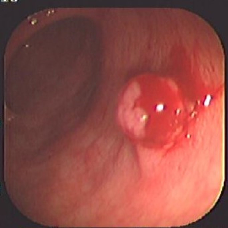
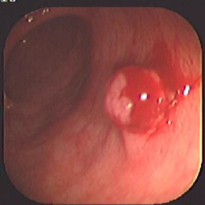
Pólipos Rectales

Envíado por Dr. Carlos Ernesto Arévalo