.

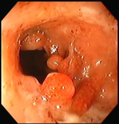
Pólipos de colon

Envíado por Dr. Carlos Ernesto Arévalo