.

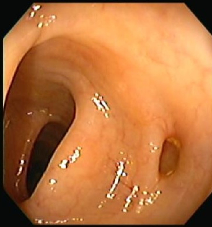
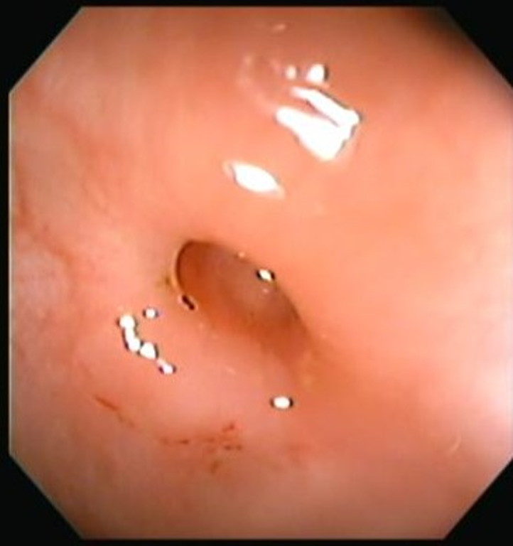
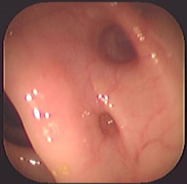
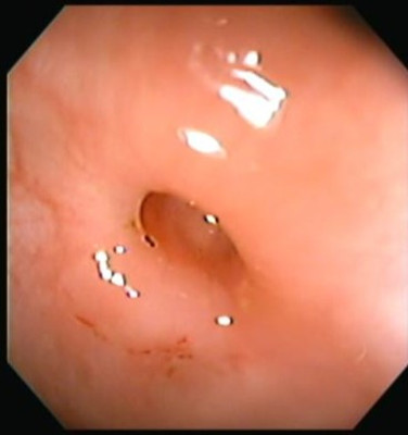
Enfermedad diverticular del colon

Envíado por Dr. Carlos Ernesto Arévalo