.

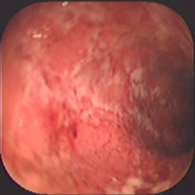
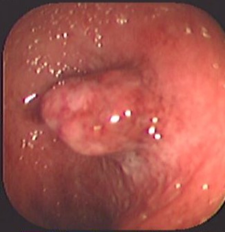
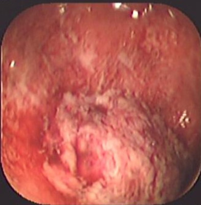
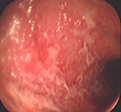
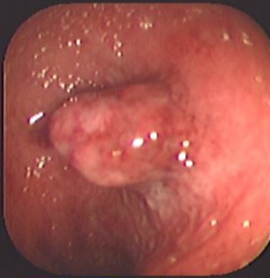
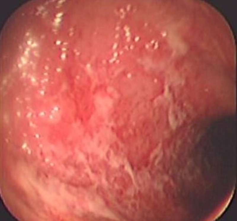
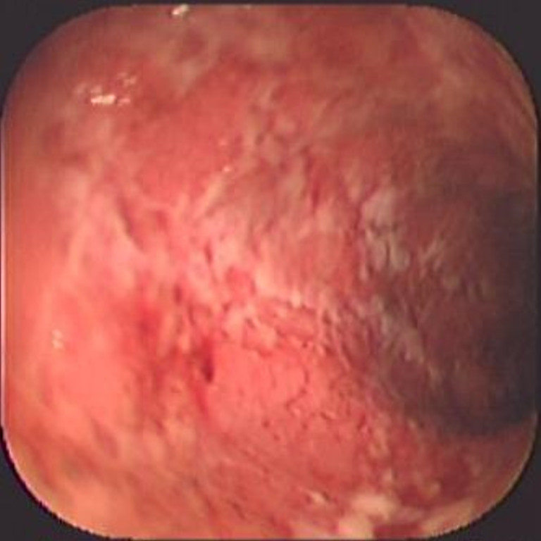
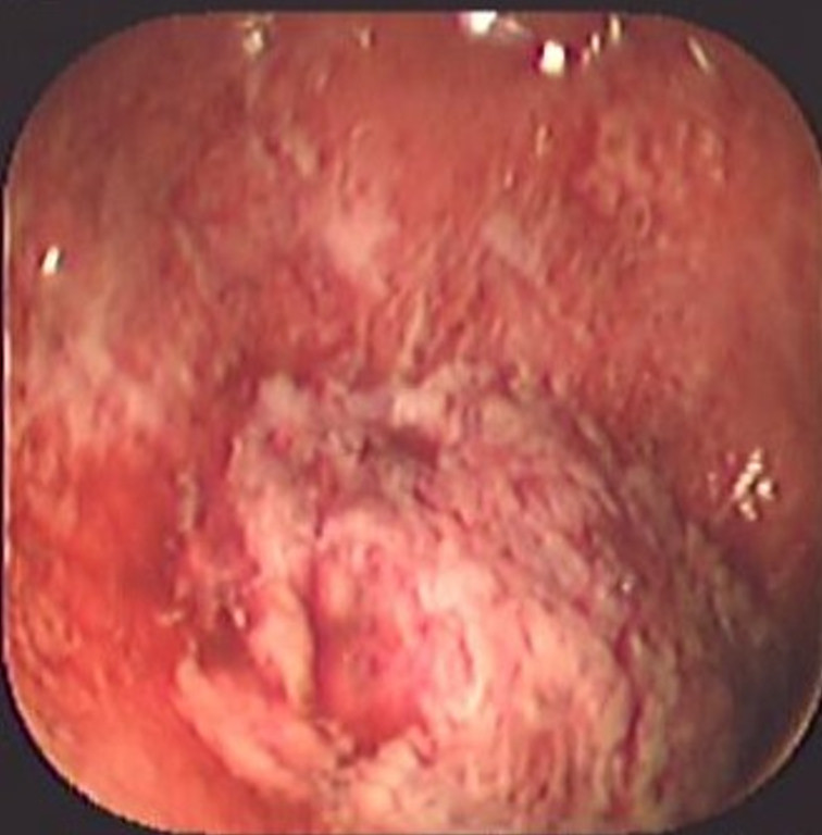
Colitis ulcerosa crónica inespecífica

Envíado por Dr. Carlos Ernesto Arévalo