.

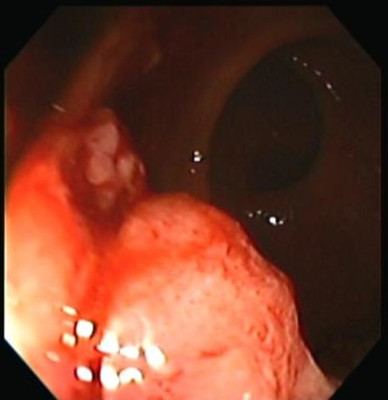
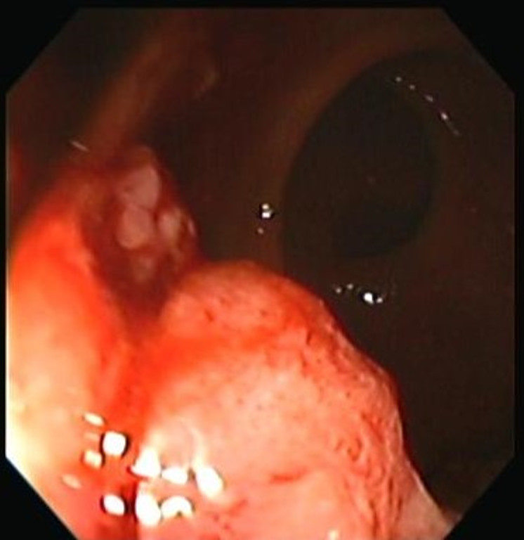
Cáncer de Colon

Envíado por Dr. Carlos Ernesto Arévalo