.

Pacientes Operados por Tumores

Envíado por Dra. Ana Belly Guerra Del Cid

Post Image

Caso 2, Después

Post Image

Caso 1, Paciente con Rinofima

Post Image

Caso 2, Cáncer Basocelular del Parpado

Post Image

Caso 1, Después

Post Image

Caso 2, Después

Post Image

Caso 2, Colocación de Injerto de Piel

Post Image

Caso 1, Después de Operación

Post Image

Caso 2, Antes

Post Image

Caso 1, Antes de Operación

Post Image

Caso 2, Tumor Resecado

Post Image

Caso 1, Después

Post Image

Caso 2, Después

Post Image

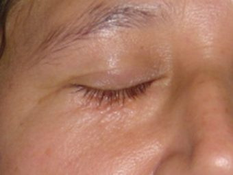
Caso 3, Antes Nevo Palpebral

Post Image

Caso 3, Después

Post Image

Caso 3, Antes Nevo Palpebral