.

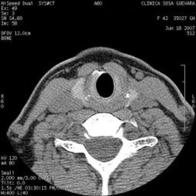
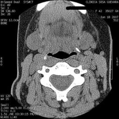
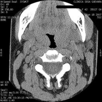
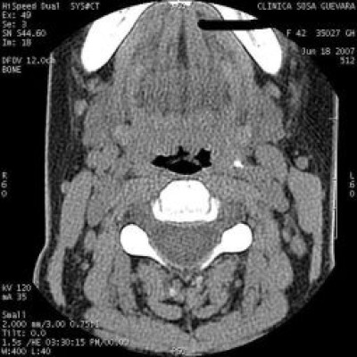
Imagenes 3D de cervicales

Envíado por Clínica de Radiología y Ultrasonografía Sosa - Guevara