.

Cabeza y Cuello 1

Envíado por BMP Imágenes Diagnósticas

Post Image

Fractura malar

Post Image

Fx piso órbita y hernia musculo

Post Image

Desviación septal

Post Image

Fx piso órbita y hernia músculo sagital

Post Image

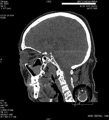
Fractura temporal

Post Image

Fractura malar

Post Image

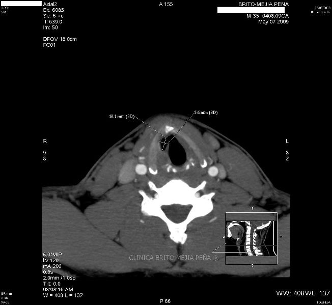
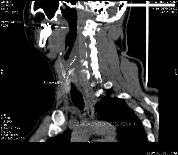
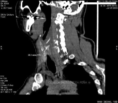
Espina en espacio retrofaríngeo

Post Image

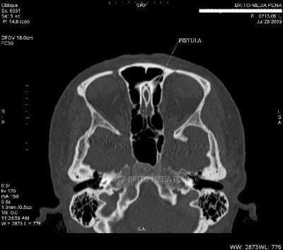
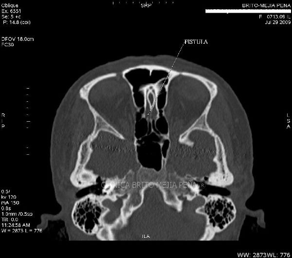
Fístula LCR axilar

Post Image

Detalle óseo

Post Image

Endoscopía virtual hipertrofia cornetes

Post Image

Fístula LCR sagital

Post Image

Fractura arco zigomático

Post Image

Fractura malar

Post Image

Divertículo traqueal axial

Post Image

Espina en espacio retrofaríngeo

Post Image

Fístula LCR coronal

Post Image

Divertículo traqueal aire

Post Image

Endoscopía virtual pólipo antral

Post Image

Espina en espacio retrofaríngeo

BMP Imágenes Diagnósticas

Edificio Villavicencio Plaza Paseo General Escalón y 99 Av. Nte.