.

Abdomen 2

Envíado por BMP Imágenes Diagnósticas

Post Image

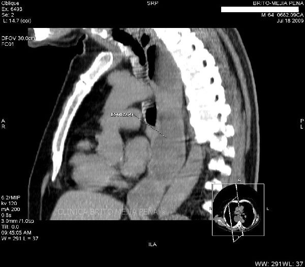
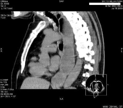
Masa esofágica sagital

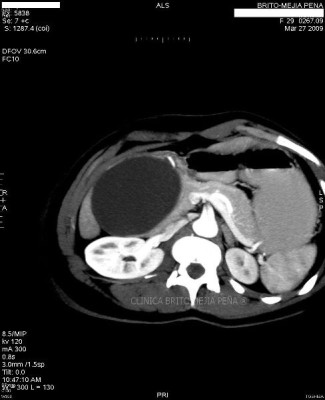
Post Image

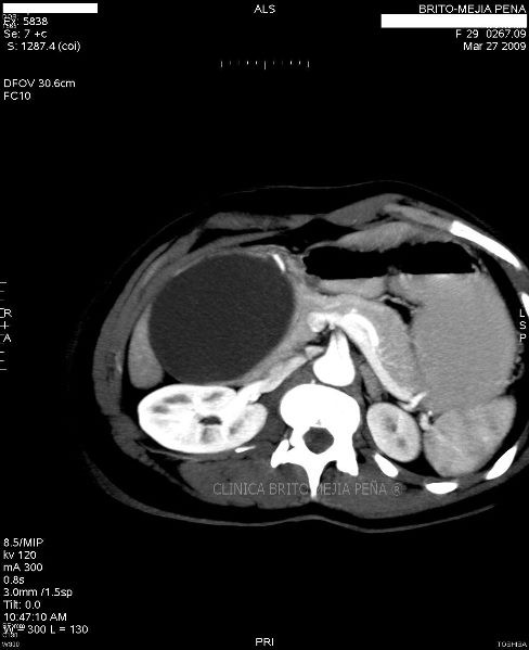
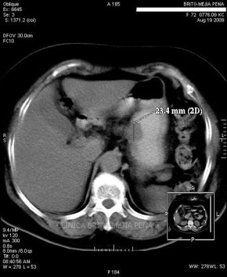
Pseudoquiste páncreas axial

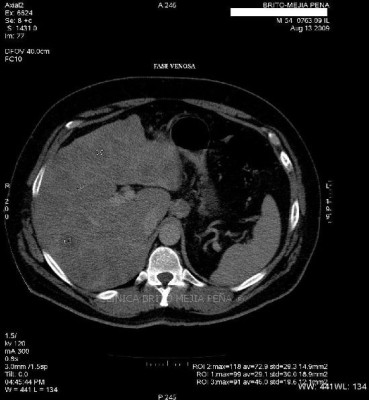
Post Image

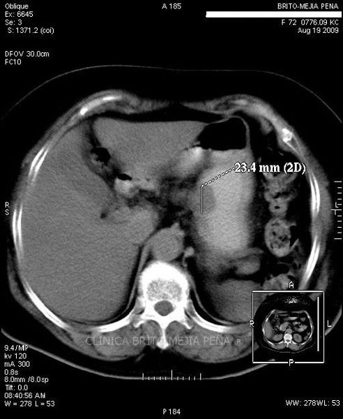
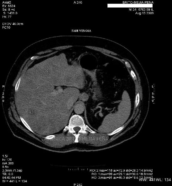
Metástasis hígado fase venosa

Post Image

Urotac 3D

Post Image

Urotac fase excretoria

Post Image

Hernia pared abdominal

Post Image

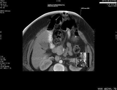
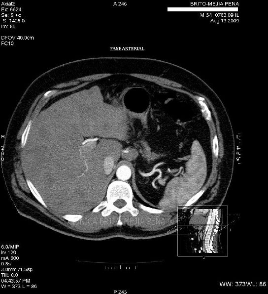
Metástasis hígado fase arterial

Post Image

Páncreas normal MPR

Post Image

Masa esofágica axial

Post Image

Trombosis vena mesentérica

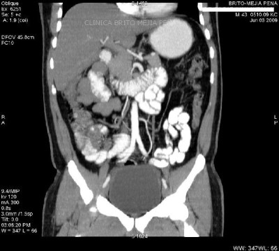
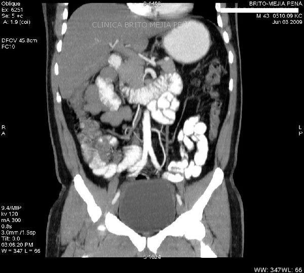
Post Image

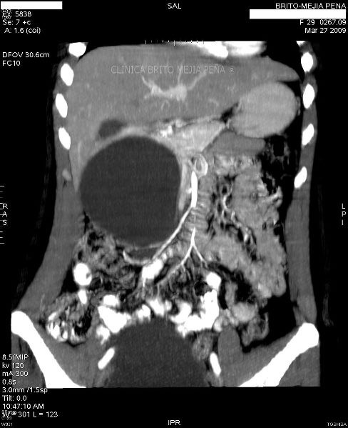
Pseudoquiste páncreas coronal

Post Image

Plastron apendicular

Post Image

Pólipo gástrico

BMP Imágenes Diagnósticas

Edificio Villavicencio Plaza Paseo General Escalón y 99 Av. Nte.